آخرین به روزرسانی
مقدمه
DLP مخفف عبارت انگلیسی Digital Light Processing(پردازش نور دیجیتال) یک فناوری چاپ سه بعدی است که از یک پروژکتور و یک DMD (دستگاه آینه دیجیتال) برای پخت انتخابی یک فوتوپلیمر لایه به لایه استفاده می کند. DMD آرایه ای از آینه های ریز است که نور فرابنفش را در الگوی هر برش از مدل سه بعدی به صفحه ساخت هدایت می کند.
در این مقاله نحوه عملکرد فرآیند نور دیجیتال، اجزایی که یک چاپگر معمولی DLP را تشکیل میدهند، مزایا و معایب این فناوری چاپ، کاربردهای رایج آن، و نوع موادی که میتواند به کار ببرد، توضیح داده خواهد شد.
![همه چیز درباره چاپ سه بعدی DLP 1 چاپگر سه بعدی DLP
[source:ti.com]](https://digimfg.ir/wp-content/smush-webp/2024/05/چاپگر-سه-بعدی-DLP-1024x576.jpg.webp)
فهرست مطالب
چاپ سه بعدی DLP چیست؟
چاپ سه بعدی DLP تکنیکی است که برای ایجاد اجسام پلاستیکی جامد استفاده می شود. این کار با پخت انتخابی یک فوتوپلیمر مایع با یک منبع نور UV لایه به لایه تا زمانی که قطعه کامل شود، انجام می شود. فناوری DLP در طول دهه گذشته به طور قابل توجهی ارزانتر شده است و در حال حاضر تقریباً به اندازه FDM (مدلسازی رسوب ذوبشده) قابل دسترس و مقرون به صرفه است.
DLP با چاپ رزین مایع از نوع LCD تفاوت دارد زیرا نور پروژکتور خود را با استفاده از یک دستگاه آینه دیجیتال فیلتر می کند. DMD نور را بسیار دقیق به سمت صفحه ساخت هدایت می کند. چاپگرهای نوع LCD از یک صفحه نمایش LCD به عنوان فیلتر نور استفاده می کنند و معمولاً دقت کمتری دارند.
فرآیند چاپ سه بعدی با نور دیجیتال چگونه کار می کند؟
فرآیند نور دیجیتال معمولاً با پایین آوردن یک سکوی ساخت به یک مخزن رزین شفاف پر از فوتوپلیمر مایع کار می کند. سپس یک پروژکتور با وضوح بالا نور ماوراء بنفش را در همان شکلی که سطح مقطع لایه قطعه است بر روی سکوی ساخت می تاباند. طرح مقطعی با آرایه ای از آینه های میکروسکوپی به نام DMD ایجاد می شود که نور را فقط در جایی که مورد نیاز است هدایت می کند. چگالی آرایه، رزولوشن چاپ را تعیین می کند. این سبک از چاپگرهای DLP شی را به صورت وارونه می سازد.
در موارد نادری که قطعه به سمت راست ساخته می شود، یک لایه نازک از رزین روی صفحه ساخت کشیده می شود. سپس DMD می تواند نور را از بالا به پایین هدایت کند تا آن لایه اول شکل بگیرد. تنها فوتوپلیمری که پخته میشود آن نوری است که هم روشن میشود و هم از نظر فیزیکی با یک سطح جامد (سکوی ساخت یا یک لایه قبلی) در تماس است.
اکثر چاپگرهای DLP وارونه بعد از هر لایه یک عمل کندن پوست را در پایین مخزن انجام می دهند تا هر رزینی را که در ته مخزن پخت شده است پاک کنند. پس از تکمیل یک لایه، سکوی ساخت به ضخامت یک لایه به سمت بالا حرکت می کند و این فرآیند تا تکمیل قطعه تکرار می شود.
برای چاپگرهای DLP رو به بالا، پس از تکمیل یک لایه، صفحه ساخت یک لایه به پایین حرکت میکند و لایه دیگری از رزین روی قسمت بالایی لایه قبلی کشیده میشود. یک قطعه DLP تکمیل شده به طور موثر از هزاران حجم مکعبی کوچک ساخته شده است. سطح مقطع این مکعب مساوی با اندازه آینه تصویر شده و ارتفاع مکعب برابر با ارتفاع لایه است. هر یک از این حجم های مکعبی voxel نامیده می شود.
مزایا و معایب DLP چیست؟
جدول زیر مزایا و معایب فناوری چاپ سه بعدی DLP را فهرست می کند:
| مزایا | معایب |
|---|---|
| سرعت بالا: به دلیل اینکه یک لایه کامل را در یک مرحله چاپ می کند، چاپ سه بعدی DLP یکی از سریعترین فناوری های چاپ سه بعدی است. برخی از چاپگرهای نوع SLA می توانند با سرعت های مشابه چاپ کنند، اما DLP بسیار از فناوری هایی مانند FDM فراتر می رود. | مواد اولیه گران قیمت: رزین فوتوپلیمر یک ماده تخصصی است و به همین دلیل به طور قابل توجهی گران تر از سایر مواد چاپ مانند رشته های پلاستیکی است. |
| جزئیات بالا: چاپگرهای DLP می توانند قطعاتی با سطوح بسیار بالایی از جزئیات بسازند. هر چه وضوح دستگاه میکروآینه دیجیتال بیشتر باشد، جزئیات قطعه بیشتر می شود. | قطعات شکننده: رزین فوتوپلیمر سفت معمولاً خواص مکانیکی خوبی ندارد. یکی از مشکلات اصلی این است که قطعات DLP بسیار شکننده هستند و می توانند راحت تر از سایر مواد رایج مانند ABS یا نایلون ترک بخورند. رزین های الاستومری DLP که انعطاف پذیرتر هستند، گران تر از رزین های سفت هستند. |
| چاپ های لاستیک مانند: DLP می تواند با مواد الاستومری که سختی Shore A حدود 90 دارند چاپ کند. این بدان معنی است که قطعات لاستیکی کاربردی را می توان با جزئیات بالا و ساختارهای شبکه ای پیچیده چاپ کرد. | پس پردازش نامرتب: قطعات DLP بلافاصله پس از خروج از چاپگر آماده استفاده نیستند. ابتدا باید از هر گونه رزین اضافی با استفاده از یک حلال تمیز شوند و سپس برای رسیدن به استحکام کامل در زیر نور ماوراء بنفش پخت شوند (کیور شوند). |
مواد چاپ DLP چیست؟
فقط مواد فوتوپلیمر در چاپگرهای DLP کار می کنند. فوتوپلیمر از مونومرها، الیگومرها و فتواینیشیتورها تشکیل شده است. هنگامی که در معرض نور ماوراء بنفش قرار می گیرد، فتواینیشیتور به رادیکال های آزاد واکنشی تجزیه می شود که فرآیند پلیمریزاسیون را آغاز می کند. زنجیره های پلیمری جدید می توانند به هم متصل شوند و در نهایت سخت شده و قطعه را تشکیل دهند.
اکثر فوتوپلیمرها به گونه ای طراحی شده اند که خواصی مشابه با سایر ترموپلاستیک های مهندسی رایج از خود نشان دهند. با این حال، آنها به ندرت می توانند همه این خواص مکانیکی را به طور همزمان تکثیر کنند. کاربران باید انتخاب کنند که کدام ویژگی حیاتی ترین ویژگی است. در زیر برخی از دسته بندی های رایج مواد DLP آمده است:
- مشابه پلیکربنات: استحکام و مقاومت حرارتی عالی با ظاهری شفاف یا نیمهشفاف.
- مشابه ABS: چقرمگی و سفتی عالی به همراه انقباض کم.
- مشابه پلیپروپیلن: مادهای بادوام و مقاوم در برابر ضربه. میتوان از آن برای اتصالات قفلشونده و لولاهای زنده استفاده کرد.
- فتوالاستومرها: کشیدگی بالا در نقطه شکست و مقاومت ضربه ای عالی.
- پر شده: این رزینها شامل ذرات سرامیک یا شیشه معلق در مایع هستند. آنها مقاومت خوبی در برابر خزش و دمای انحراف حرارتی بالا از خود نشان میدهند.
رزینهای DLP: قلب تپنده چاپ سه بعدی DLP
رزینهای DLP مواد ویژهای هستند که در فرایند چاپ سه بعدی DLP به کار میروند. این مواد با تابش نور ماوراء بنفش (UV) پلیمریزه شده و به قطعه جامد تبدیل میشوند. انتخاب نوع مناسب رزین، تأثیر مستقیمی بر کیفیت، دوام و کاربرد نهایی قطعه چاپ شده دارد.
انواع رزینهای DLP
رزینهای DLP تنوع بسیار زیادی دارند و هر کدام برای کاربرد خاصی طراحی شدهاند. این تنوع به شما امکان میدهد تا رزینی را انتخاب کنید که بهترین تطابق را با نیازهای پروژه شما داشته باشد.
1. رزینهای استاندارد:
- کاربرد: مناسب برای ساخت نمونههای اولیه، مدلهای مفهومی و قطعاتی که نیازی به خواص مکانیکی خاص ندارند.
- ویژگیها: معمولاً دارای سطحی صاف و جزئیات بالا هستند.
- مزایا: قیمت مناسب، در دسترس بودن آسان.
- معایب: مقاومت مکانیکی پایینتر نسبت به برخی از انواع دیگر رزینها.
2. رزینهای سخت (Tough Resin):
- کاربرد: برای ساخت قطعاتی که به استحکام و مقاومت در برابر ضربه نیاز دارند، مانند بدنه ابزارها یا قطعات مکانیکی.
- ویژگیها: مقاومت کششی و خمشی بالا، مقاومت در برابر سایش.
- مزایا: دوام بالا، مناسب برای کاربردهای صنعتی.
- معایب: ممکن است زمان پلیمریزاسیون طولانیتری داشته باشند.
3. رزینهای شفاف:
- کاربرد: برای ساخت قطعاتی که نیاز به شفافیت دارند، مانند لنزها، پوششها و مدلهای آناتومیکی.
- ویژگیها: شفافیت بالا، انتقال نور خوب.
- مزایا: برای ساخت نمونههای اولیه محصولات نهایی شفاف بسیار مناسب است.
- معایب: ممکن است نسبت به خراش حساستر باشند.
4. رزینهای رنگی:
- کاربرد: برای ساخت مدلهای رنگی، قطعات تزئینی و نمونههای اولیه با رنگهای خاص.
- ویژگیها: طیف گستردهای از رنگها، امکان ترکیب رنگها.
- مزایا: ظاهر جذاب، مناسب برای نمونههای اولیه محصولات مصرفی.
- معایب: ممکن است کمی گرانتر از رزینهای استاندارد باشند.
5. رزینهای زیستسازگار:
- کاربرد: در صنایع پزشکی برای ساخت ایمپلنتها، مدلهای جراحی و ابزارهای پزشکی قابل استریل استفاده میشود.
- ویژگیها: سازگاری با بافتهای بدن، عدم ایجاد واکنشهای آلرژیک.
- مزایا: برای کاربردهای پزشکی بسیار ایمن است.
- معایب: قیمت بالاتر نسبت به رزینهای استاندارد.
6. رزینهای ریختهگری:
- کاربرد: برای ساخت مدلهای مومی که در فرآیند ریختهگری فلزات استفاده میشوند.
- ویژگیها: قابلیت سوختن کامل در دمای بالا بدون باقی گذاشتن خاکستر.
- مزایا: دقت بالا در ساخت قطعات ریختهگری.
- معایب: نیاز به تجهیزات خاص برای فرآیند سوختن.
7. رزینهای مقاوم در برابر حرارت:
- کاربرد: برای ساخت قطعاتی که در معرض دمای بالا قرار میگیرند، مانند قالبهای ریختهگری یا قطعات موتور.
- ویژگیها: مقاومت در برابر تغییر شکل در دماهای بالا.
- مزایا: مناسب برای کاربردهای صنعتی با دمای بالا.
- معایب: ممکن است زمان پلیمریزاسیون طولانیتری داشته باشند.
8. رزینهای مقاوم در برابر مواد شیمیایی:
- کاربرد: برای ساخت قطعاتی که در تماس با مواد شیمیایی قرار میگیرند، مانند محفظههای حاوی مواد شیمیایی یا قطعات آزمایشگاهی.
- ویژگیها: مقاومت در برابر طیف گستردهای از مواد شیمیایی.
- مزایا: مناسب برای کاربردهای صنعتی با محیطهای خورنده.
- معایب: ممکن است قیمت بالاتری داشته باشند.
عوامل موثر در انتخاب رزین DLP
- خواص مکانیکی مورد نیاز: استحکام، سختی، مقاومت در برابر ضربه، انعطافپذیری و …
- شرایط کاری قطعه: دما، فشار، محیط شیمیایی
- ظاهر نهایی قطعه: رنگ، شفافیت، سطح
- دقت ابعادی مورد نیاز
- هزینه
انتخاب رزین مناسب برای چاپ سه بعدی DLP، کلید موفقیت در دستیابی به قطعات با کیفیت و کاربردی است. با در نظر گرفتن عوامل ذکر شده و مشاوره با کارشناسان، میتوانید بهترین رزین را برای پروژه خود انتخاب کنید.
بخشهای اصلی چاپگر DLP سه بعدی کدامند؟
چاپگرهای DLP قطعات متحرک بسیار کمی دارند. بدون شک مهمترین اجزای آنها پروژکتور و دستگاه های آینه میکرو دیجیتال هستند. در زیر تمام قسمت های اساسی که یک چاپگر سه بعدی DLP را تشکیل می دهند، فهرست شده اند.
1.صفحه پروژکتور نور دیجیتال
پروژکتور نور دیجیتال منبع نور فرآیند فتوپلیمریزاسیون است. این منبع نور می تواند یک صفحه نمایش یا یک لامپ باشد. منبع نور باید نور UV را منتشر کند زیرا این طول موج به اندازه کافی پرانرژی است تا فرآیند نور دیجیتال را که فوتوپلیمر را پلیمریزه می کند، آغاز کند.
2.DMD (دستگاه میکرو آینه دیجیتال)
یک دستگاه میکرو آینه دیجیتال اساساً یک تراشه با صدها هزار آینه میکروسکوپی است. هر آینه معین را می توان با اعمال اختلاف پتانسیل الکتریکی در آن چرخاند. بنابراین نور به یک هیت سینک یا به لنزی که آن را روی صفحه ساخت متمرکز می کند، هدایت می شود. آنچه از عدسی عبور می کند، رزینی را که به آن برخورد می کند پلیمری می کند. هر آینه می تواند تا 10 میکرون عرض داشته باشد. نمایشی بزرگنمایی شده از یک DMD در شکل زیر نشان داده شده است:
![همه چیز درباره چاپ سه بعدی DLP 2 دستگاه میکرو آینه دیجیتال
[source:depositphotos.com]](https://digimfg.ir/wp-content/smush-webp/2024/04/دستگاه-میکروآینه-دیجیتال.jpg.webp)
3.وان (مخزن رزین)
مخزن رزین، فوتوپلیمر مایع را در خود جای می دهد. کف مخزن رزین شفاف است تا نور ماوراء بنفش از آن عبور کند. مخازن رزین DLP معمولاً در مقایسه با مخازن چاپگر SLA بسیار کم عمق هستند. جایگزینی استفاده از مخزن رزین، فرآیندی است که رزین را به صورت لایه به لایه روی صفحه ساخت پخش می کند، شبیه به چاپ سه بعدی SLS.
4.صفحه ساخت
صفحه تخت یا صفحه ساخت، سطحی است که چاپ در طول فرآیند نور دیجیتال به آن متصل می شود. در بیشتر چاپگرهای DLP، صفحه چاپ به صورت وارونه است و به آرامی یک لایه به سمت بالا حرکت می کند تا زمانی که قطعه چاپ شود.
5.آسانسور برای صفحه ساخت
صفحه ساخت با استفاده از یک محرک خطی در امتداد محور z حرکت می کند. رایج ترین نوع محرک خطی برای این منظور یک بال اسکرو است. به جای رزوه های سنتی، یک بال اسکرو دارای کانال هایی برای یاتاقان های ساچمه فلزی کوچک است. این ساچمه های فلزی در مهره توپی قرار می گیرند تا حرکتی نرم و کم اصطکاک ایجاد کنند. هنگامی که محور توسط یک موتور پله ای چرخانده می شود، مهره توپی به سمت بالا یا پایین حرکت می کند. پیچ های بال اسکرو حرکت صاف و دقیقی ارائه می دهند.
تفاوت بین DMD و LCD در چاپ سه بعدی DLP
در چاپ سه بعدی DLP، دو فناوری اصلی برای کنترل نور و پلیمریزاسیون رزین استفاده میشود: DMD (Digital Micromirror Device) و LCD (Liquid Crystal Display). هر دو فناوری از نور UV برای سخت کردن رزین استفاده میکنند، اما روش کنترل نور در آنها متفاوت است.
DMD (دستگاه میکروآینه دیجیتال)
- نحوه عملکرد: DMD شامل آرایهای از آینههای بسیار کوچک است که هر کدام به صورت جداگانه قابل کنترل هستند. با اعمال ولتاژ روی هر آینه، آن آینه میتواند بین دو حالت روشن و خاموش تغییر وضعیت دهد. زمانی که آینهای روشن است، نور UV را به سمت رزین منعکس میکند و در آن نقطه پلیمریزاسیون رخ میدهد. با کنترل دقیق موقعیت آینهها، میتوان الگوهای پیچیدهای از نور UV را ایجاد کرد که برای ساخت لایههای سهبعدی مورد نیاز است.
- مزایا:
- رزولوشن بالا: به دلیل تعداد زیاد آینهها، DMD میتواند رزولوشن بسیار بالایی را ارائه دهد و جزئیات بسیار ریز را چاپ کند.
- سرعت بالا: DMD میتواند به سرعت الگوهای نور را تغییر دهد و در نتیجه سرعت چاپ را افزایش دهد.
- کنترل دقیق: هر آینه به صورت مستقل قابل کنترل است که این امر به کنترل دقیق فرآیند چاپ کمک میکند.
- معایب:
- هزینه بالا: DMDها معمولاً گران هستند و هزینه تولید چاپ سه بعدی DLP با این فناوری را افزایش میدهند.
- پیچیدگی ساخت: ساخت و کنترل DMDها پیچیدگی فنی بالایی دارد.
LCD (نمایشگر کریستال مایع)
- نحوه عملکرد: LCD از یک صفحه کریستال مایع استفاده میکند که با اعمال ولتاژ، میتواند نور عبوری از خود را مسدود یا عبور دهد. بخشهای مختلف صفحه LCD میتوانند به صورت مستقل کنترل شوند تا الگوهای نوری دلخواه ایجاد شود. نور UV از پشت صفحه LCD تابیده میشود و بخشهایی از صفحه که روشن هستند، نور را به سمت رزین عبور میدهند و باعث پلیمریزاسیون میشوند.
- مزایا:
- هزینه پایین: LCDها معمولاً ارزانتر از DMDها هستند و باعث کاهش هزینه تولید چاپ سه بعدی DLP میشوند.
- سادگی ساخت: ساخت و کنترل LCDها نسبت به DMDها سادهتر است.
- معایب:
- رزولوشن پایینتر: رزولوشن LCDها معمولاً پایینتر از DMDها است و جزئیات چاپ شده ممکن است به اندازه DMDها دقیق نباشد.
- کنترل کمتر دقیق: هر پیکسل LCD یک واحد کنترل است و نمیتوان آن را به صورت مستقل کنترل کرد، که این امر میتواند بر دقت چاپ تأثیر بگذارد.
مقایسه DMD و LCD
| ویژگی | DMD | LCD |
|---|---|---|
| رزولوشن | بسیار بالا | پایینتر |
| سرعت چاپ | بالا | متوسط |
| کنترل دقیق | بسیار دقیق | کمتر دقیق |
| هزینه | بالا | پایین |
| پیچیدگی ساخت | بالا | پایین |
هر دو فناوری DMD و LCD مزایا و معایب خاص خود را دارند. انتخاب بین این دو فناوری به عوامل مختلفی از جمله بودجه، کیفیت چاپ مورد نیاز، سرعت چاپ و کاربرد نهایی بستگی دارد. DMD برای کاربردهایی که به رزولوشن بالا و دقت بسیار زیاد نیاز دارند، مانند ساخت قطعات پزشکی و نمونههای اولیه دقیق، مناسبتر است. از سوی دیگر، LCD برای کاربردهایی که به هزینه کمتر و سرعت چاپ بالاتر نیاز دارند، مانند ساخت نمونههای اولیه سریع و تولید انبوه قطعات ساده، مناسبتر است.
بهترین رزین چاپ سه بعدی DLP چیست؟
بهترین رزین چاپ سه بعدی به کاربرد بستگی دارد. با این حال، رزین های مشابه پلی پروپیلن معمولاً طیف وسیعی از کاربردها را ارائه می دهند. این مواد حتی می توانند برای ایجاد قطعاتی با ویژگی های اتصال سریع و لولاهای زنده استفاده شوند.
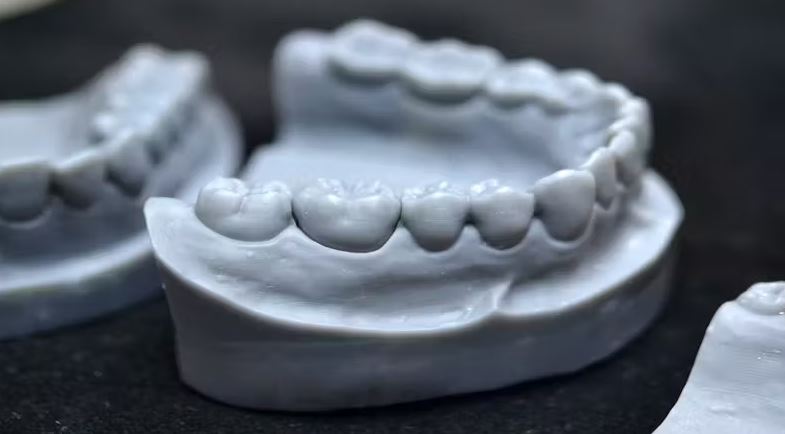
چاپ سه بعدی DLP چگونه در صنعت پزشکی استفاده می شود؟
چاپ سه بعدی DLP به طور گسترده در صنعت پزشکی، به ویژه در دندانپزشکی استفاده می شود. مدل های دقیق دندانی، مدل های آناتومیکی، ابزارهای جراحی و پروتزهای سفارشی همگی نمونه هایی از کاربردهای مناسب این فناوری چاپ هستند. مدل فوتوپلیمر دندانی در شکل زیر نشان داده شده است:
![همه چیز درباره چاپ سه بعدی DLP 3 چاپ سه بعدی DLP مدل دندانی
[source:willmurphydentistry.co.uk]](https://digimfg.ir/wp-content/smush-webp/2024/04/چاپ-سه-بعدی-DLP-مدل-دندانی.jpg.webp)
چاپ سه بعدی DLP چگونه در صنعت جواهرات استفاده می شود؟
چاپگرهای DLP برای ساخت الگوهای جواهرات برای اهداف قالب گیری استفاده می شوند. چاپ سه بعدی DLP می تواند قطعاتی با کیفیت و وضوح استثنایی تولید کند که آنها را برای قطعات جواهرات پیچیده ایده آل می کند. جواهرات در نرم افزار CAD طراحی شده و روی چاپگر DLP چاپ می شود. سپس از این قطعه برای ایجاد قالب گچ یا سیلیکون استفاده می شود.
برخی از رزین های قالب گیری در کوره به طور کامل تجزیه می شوند و هیچ موادی باقی نمی گذارند. سپس قالب با فلز مذاب پر می شود که شکل قطعه چاپ شده سه بعدی را به خود می گیرد. این به جواهرسازان اجازه می دهد تا به طور نسبی آسان طراحی های پیچیده را ایجاد کنند و از فلز خام بسیار کمتری نسبت به روش های دستی تر استفاده کنند.
چاپ سه بعدی DLP چگونه در ساخت زیره کفش استفاده می شود؟
مواد لاستیک مانند را می توان با چاپ سه بعدی DLP در شکل زیره کفش با ساختارهای شبکه داخلی پیچیده چاپ کرد. این ساختارها مانند مواد سنتی زیره کفش انعطاف پذیر باقی می مانند، اما جرم کلی را محدود می کنند. چاپ سه بعدی DLP به خوبی برای این کار مناسب است زیرا می تواند با استفاده از مواد الاستومری، ساختارهای توخالی پیچیده را با دقت چاپ کند. یک زیره کفش معمولی به روش چاپ سه بعدی DLP در شکل زیر نشان داده شده است:
![همه چیز درباره چاپ سه بعدی DLP 4 چاپ سه بعدی DLP زیره کفش
[source:benforduv.com]](https://digimfg.ir/wp-content/smush-webp/2024/04/چاپ-سه-بعدی-DLP-زیره-کفش.jpg.webp)
چرا چاپ سه بعدی DLP ارزان تر از سایر روش های چاپ سه بعدی است؟
چاپ سه بعدی DLP ارزان ترین روش چاپ سه بعدی نیست، اما به دلیل دقت آن می تواند مقرون به صرفه تر از بسیاری از روش های دیگر باشد. با DLP، می توان ساختارهای شبکه پیچیده ای را چاپ کرد که بدون استفاده از مواد زیاد، استحکام ساختارهای ضخیم تر را تقلید می کنند. چاپ های آن حتی به مواد خام کمتری نسبت به چاپگرهای SLA که از همان نوع رزین استفاده می کنند نیاز دارند. علاوه بر این، چاپگرهای DLP بسیار سریع کار می کنند و به این ترتیب سرعت تولید را افزایش می دهند و هزینه های تولید کلی را کاهش می دهند.
آیا چاپگرهای DLP قادر به تولید قطعات عظیم و دقیق هستند؟
خیر، چاپ سه بعدی DLP برای ایجاد قطعات عظیم و دقیق مناسب نیست. به دلیل محدودیت های وضوح ذاتی در پیشبینی نور، DLP یک فناوری مقیاس کوچک است که نمیتوان آن را برای قطعات بسیار بزرگ مقیاسبندی کرد. به همین دلیل است که عمدتاً در صنایع پزشکی، جواهرات و سایر صنایع کوچک کاربرد دارد. قطعات عظیم را بهتر است با فناوری هایی مانند SLS (Selective Laser Sintering) تولید کرد. چاپگرهای DLP حجم چاپ نسبتاً کمی دارند و همچنین توسط مقدار رزینی که می توان به طور ایمن در مخزن رزین نگهداری کرد، محدود می شوند.
تفاوت بین DLP و SLA چیست؟
تفاوت اصلی بین DLP و SLA روش فتوپلیمریزاسیون است. دستگاه های SLA با استفاده از لیزر UV مقطع قطعه را دنبال می کنند. چاپ سه بعدی DLP یک تصویر کامل از مقطع را پیشبینی میکند و کل لایه را به طور همزمان پخت می کند. به همین دلیل، چاپ سه بعدی DLP معمولاً سریعتر از SLA است زیرا نیازی به انتظار برای عبور لیزر از شکل کل لایه نیست.
سوالات متداول
چاپ سه بعدی DLP چیست؟
چاپ سه بعدی DLP یک فناوری است که با استفاده از پروژکتور نور و فوتوپلیمر مایع، اجسام سه بعدی را به صورت لایه به لایه میسازد.
چگونه چاپگر DLP کار میکند؟
پروژکتور نور UV را روی فوتوپلیمر میتاباند و هر لایه را سخت میکند تا مدل نهایی شکل بگیرد.
مزایای چاپ سه بعدی DLP چیست؟
سرعت بالا، دقت زیاد و امکان چاپ جزئیات ریز از مزایای این فناوری است.
معایب چاپ سه بعدی DLP چیست؟
مواد اولیه گران قیمت و شکنندگی قطعات از معایب این روش است.
چه موادی در چاپ DLP استفاده میشود؟
فوتوپلیمرها، که شامل رزینهای مختلف با خواص مکانیکی متفاوت هستند.
آیا چاپگرهای DLP میتوانند قطعات بزرگ تولید کنند؟
خیر، چاپگرهای DLP بیشتر برای تولید قطعات کوچک و دقیق مناسب هستند.
چاپ سه بعدی DLP در چه صنایعی استفاده میشود؟
این فناوری در صنایع پزشکی، جواهرسازی و تولید زیره کفش کاربرد دارد.
تفاوت DLP و SLA چیست؟
در DLP از پروژکتور نور برای پخت یک لایه به صورت کامل استفاده میشود، در حالی که در SLA لیزر UV لایه را به صورت نقطه به نقطه پخت میکند.
چرا چاپ DLP ارزانتر از دیگر روشهاست؟
به دلیل سرعت بالا و استفاده کمتر از مواد، این فناوری مقرون به صرفهتر است.
بهترین رزین برای چاپ DLP کدام است؟
رزینهای مشابه پلیپروپیلن به دلیل مقاومت و دوام بالا، پرکاربردترین هستند.
خلاصه
این مقاله به بررسی چاپ سه بعدی Digital Light Processing (DLP) به عنوان یک فناوری چاپ سه بعدی و بحث در مورد مزایا، مواد و کاربردهای آن پرداخت. این مقاله برای اولین بار در سایت بازارگاه ساخت و تولید ایران به نشانی Digimfg.ir منتشر شده است.
منابع
xometry.com/resources/3d-printing/digital-light-process-dlp
سلب مسئولیت
محتوای ارائه شده در این صفحه وب صرفا جنبه اطلاع رسانی دارد. DIGIMFG هیچگونه ضمانت یا مسئولیتی، چه به صورت صریح یا ضمنی، در خصوص صحت، کامل بودن یا اعتبار اطلاعات بر عهده نمی گیرد. پارامترهای عملکرد، تلرانس های هندسی، ویژگیهای طراحی خاص، کیفیت یا نوع مواد، یا فرایندها را نباید نمایانگر آنچه توسط تأمین کنندگان یا تولیدکنندگان شخص ثالث در شبکه DIGIMFG ارائه میشود، دانست. خریدارانی که به دنبال دریافت قیمت هستند موظفند تا الزامات فنی ویژه موردنیاز برای قطعات را تعریف کنند. برای کسب اطلاعات بیشتر، لطفاً به شرایط و ضوابط ما مراجعه کنید.
